Encounter of A-066

An encounter is a sighting of a single animal at a specific location and time. Learn more.

Location


Location ID:

Water depth: 40.0 meters

Set Location

Set reported country

Leave blank if unknown.

Set Location ID

Set Depth

meters

No GPS data is available for mapping.



Identity

Identified as: A-066

Matched by: Unknown

X

Manage Identity

In this dialog box, you can add an encounter to a new or existing marked individual or remove the encounter from a marked individual if already assigned.

Set new individual ID


Next suggested new ID: A-2794

Add to existing individual ID


Alternate ID:

 Occurrence ID: 6ec1044d-04ee-40fb-9827-3ba32729020d

Contact Information

Submitting Users

Photographing Users

Other Photographers


Metadata

Number: 1262004204748

Date created:2004
Date last edited:  2024-08-16 22:01:41

Workflow state: approved

Set Workflow State

Managing researcher: 

Brad Norman

Affiliation: ECOCEAN

Research Project: normanb

Web site

"Brad leads ECOCEAN Inc. and is a co-Founder of the Whale Shark Photo-identification Library."


Measurements

Type Size Units
Length 5.0 Meters
Water Temperature Celsius

Set Physical Measurements

Length (Meters)
Water Temperature (Celsius)

Tracking

Metal Tags
Left:
Right:

Manage Physical Tag Data

Left
Right

Acoustic Tag
Serial number:
ID:

Set Acoustic Tag Metadata

Serial number:
ID:

Satellite Tag  
Name
Serial number:
Argos PTT:

Set Satellite Tag Metadata

Name
Serial number:
Argos PTT:

Date

Unknown
Verbatim Event Date: None

Reset Encounter Date

Leave blank if unknown.


Set Verbatim Event Date

Leave blank if unknown.

Gallery




Attributes

Taxonomy Rhincodon typus 

Reset genus and species

Status: alive

Reset Status

Sex: male

Reset Sex

Noticeable scarring:  Tail (caudal) fin

Edit scarring description

Behavior:  None

Edit Behavior

Leave blank if unknown.

Group Role:  None

Edit Group Role

Leave blank if unknown.

Life stage: 

Reset life stage

Additional comments:
Substantial scarring around lower part of 2nd and 3rd gill slits (right side) - not immediately obvious in photo; large piece of trailing edge of lower lobe of caudal fin missing and further serration of this edge closer to mid section; small nick midway down trailing edge of 1st dorsal; size accurately measured

Edit Submitted Comments


Observations

None

Add Observation


Spot Matching Algorithms (Modified Groth and I3S)

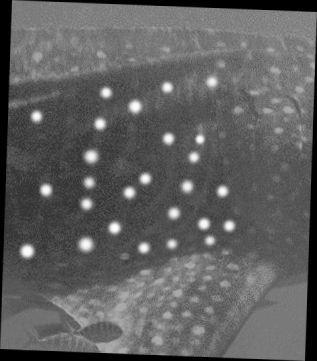
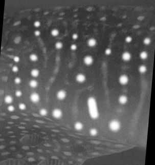
Extracted Spots

35 left-side spots added. 26 right-side spots added.

Pattern Matching Results

Groth: Left-side scan results
Groth: Right-side scan results

Choose criteria to match against

The machine learning queue is empty and ready for work.

Location ID:  
Owner of data
Choose algorithm